Shoulder Axial

 

 

 Purpose

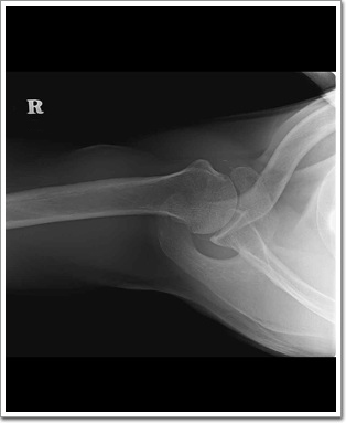
Proximal HumerusFractureDislocation을 진단하는데 매우 유용한 검사 방법이고, 특히 Glenoid of the Scapula Fracture를 진단하는데 중요한 의미를 가진다.
경우에 따라서는
supine으로 Lawrence , prone인 경우에는 Westpoint을 이용하여 검사한다.

 Central Ray

ArmAbduction에 따라 Cassette Center에 향해 Distal쪽으로 10° 혹은 수직 입사

 Cassette Size

8 " X 10 "

 Position

환자는 sitting 또는 supine Position을 취한다.
DR
검사의 어려움으로 기존 CR검사를 한다.
촬영 측
Shoulder를 약 3~4° 정도 거상하고 ArmBody에 수직이 되도록 Abduction하고 ShoulderUpper BorderCassette를 세워 놓는다. 촬영 측 Shoulder 밑에 Hard Sponge를 받쳐준다.

 Check Point

Lesser tubercle의 반측면상이 나타나고, Coracoid processclavicle위에 투영되어야 한다.

 

 

email | sitemap | home

Copyrights (C) 2006-2007 All Rights Reserved by Samsung Medical Center General Radiology