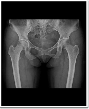
Hip AP

 

 

 Purpose

Femoral Head Femoral Neck Fracture여부, Greater Lesser TrochantersFracture 여부를 관찰 한다.

 Central Ray

Pubic symphysisDetectorCenter 에 수직 입사

 Collimation Size

14 " X 17 "

 Position

환자는 Supine Position을 취한다. Femoral Neck Anteversion을 방지하기 위해 양쪽 발을 벌린다음 발끝을 15°정도 안쪽으로 회전시킨다.

 Check Point

Greater trochanter는 명확히 나타나야 하고, lesser trochanter내측연에 나타내어져야 하며,  좌우 대칭이 되어 나타나야 한다.

 

 

email | sitemap | home

Copyrights (C) 2006-2007 All Rights Reserved by Samsung Medical Center General Radiology