평편상피암(Small cell carcinoma)

 

 

 폐암의 5~15% 차지

 편평상피암과 함께 궐련, 끽연과의 관계

 수술불능으로 화학요법의 대상

 예후는 편평상피암, 선암에 비해 현격하게 나쁘다.

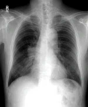
 X-선 소견 3가지

- 폐문-종격형 : 빈도가 높으며 감별 진단상으로 중요.
  
폐문림프절 및 종격의 림프절이 종대한 type으로 폐내 병소는 불확실
-
말초형 : 국한성 종류 및 침윤영

-
간접, 혼합형 : 무기폐, 폐색성 폐렴,폐기종(emphysema), 흉수등 소견 

 

 

email | sitemap | home

Copyrights (C) 2006-2007 All Rights Reserved by Samsung Medical Center General Radiology