기관지 확장증 (Bronchietasis)

 

 

 기관지의 불가역적인 확대를 초래하는 것으로 하엽저구, 중엽, 상엽에 많다

  50%는 양측성

 대부분 유아기의 감염과 기관지 폐색이 원인

 이물과 신생물에 의한 기관 지 폐색

 결핵, 만성 육아종성 병변에 속발하는 것

 분 류

- 원주상 기관지 확장증 ( cylindrical bronchiectasis ) : 원주상의 확장으로 기관지는 중등도로 확장

- 정맥류상 기관지 확장증 ( varicose bronchietasis ) : 기관지의 확대는 원주상 기관지 확장증보다 크다. 말초기관지 폐색

- 낭상 기관지 확장증 ( saccular(cystic) bronchietasis ) : 기관지 확장이 더 한층 분명해지고 낭상으로 된 것

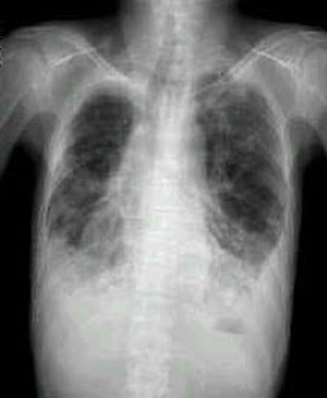
 X-선 소견

- 폐문리의 증강과 부정
-
폐용적의 감소에 의한 폐문리의 집속 : 말초 기 관지의 폐색으로 구역성 또는 폐엽성의 무기폐
                                                          (atelectasis)
에 빠짐

-
진행한 기관지 확장으로 정맥류모양 확장과 낭상 확장초래
-
대상성 폐기종과 특히 흉막(pleura)비후

 

 

email | sitemap | home

Copyrights (C) 2006-2007 All Rights Reserved by Samsung Medical Center General Radiology