Rheumatoid arthritis

 

 

 

 

 

 X-선상

골음영의 감약(osteoporosis) : 피질(cortex)의 불선명화, 골량의 거침
Rad bite erosion
척골(ulna)의 경상돌기(styloid process) erosion 은 중요 소견
관절강의 협소화는 손에서 균등하게 보임
섬유성 또는 골성강직 : 수근골, 족근골에 보이며 지절골에는 없다
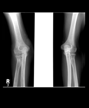
Rheumatism결절 : , 팔꿈치등에 빈발
골막반응(periosteal reaction)이 보인다
굴곡변형(flexion deformity)

 

 

 

email | sitemap | home

Copyrights (C) 2006-2007 All Rights Reserved by Samsung Medical Center General Radiology